症例紹介
閲覧時の注意
こちらのページには病気の説明のほか、レントゲン写真やエコー画像、手術中の画像や患部の傷の画像なども掲載しております。 そういった画像が苦手な方は、閲覧に十分ご注意ください。-
ロッキングによる橈尺骨骨折整復
近年、骨折治療にロッキングシステムという新しいプレート・スクリュー法が開発され、従来のプレート・スクリューよりも固定力や骨へのダメージが少なく、治療成績が上がっています。このロッキングプレート・スクリューを使用した橈尺骨骨折整復を行った症例を3例紹介します。
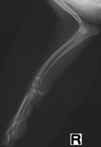
症例1:パピヨン、7ヶ月齢、目を離していたらキャンと鳴き右前肢挙上。
術前X線画像:右橈尺骨骨幹部骨折
手術所見:Fixin micro ストレートプレートによる整復・固定
術後X線画像
症例2:チワワ、2歳齢、抱っこしていたら飛び降りてしまい、キャンと鳴いて右前肢挙上。
術前X線画像:右橈尺骨遠位端骨折
手術所見:TITAN LOCK T字プレートによる整復・固定
術後X線画像
症例3:ポメラニアン、10ヶ月齢、ソファーから飛び降りキャンと鳴き、左前肢挙上。
術前X線画像:左橈尺骨骨幹部骨折
手術所見:Fixin micro ストレートプレートによる整復・固定
術後X線画像
以上、3症例を紹介させて頂きました。どの子も若く活発な子ばかりで、そのような子ほど飛び降りなどの突発的な動きが多く、結果、急激な衝撃が加わることによって骨折が生じます。
橈尺骨骨折は、骨折の中でも癒合がしにくい部位であり、手術にあたっては手術室の整備や使う機器、消毒・滅菌方法、骨の扱いや手術手技など、可能な限り完璧を期す必要があります。
-
胃捻転
症例は犬(犬種:カネコルソ)6歳、去勢オス。突然お腹が膨らみ、吐きたそうにしているとの主訴で夜間に緊急来院しました。触診で顕著な腹囲膨満が認められたため、X線検査を実施しました。
上の画像はお腹側から見たX線画像です。顕著な胃の拡張(真ん中あたりに見える黒い塊)が認められました。
この症例は30kgを超える大型犬のため、この後、拡張した胃が捻れる事でショック症状を起こす胃捻転に移行する可能性が高いと判断し、緊急手術を実施しました。
白矢印で示した部分が拡張した胃ですが、すでに白っぽい大網がかぶさっており、手術開始をするまでの30分ほどの間に胃が捻れ、胃捻転に移行していました。
そこで胃の捻れを整復し、胃捻転が再発しないよう、胃を腹壁に固定しました。
上の黄色矢印部分が、胃の右側と右腹壁を縫合糸にて固定した様子です。症例は手術後、消化器症状はなくなり、無事退院しました。
大型犬は胃捻転胃拡張症候群を起こすことが比較的多く、死亡率も非常に高い病気です。特に夜間の発生率が高く、原因は食後の運動などが指摘されていますが、そういった心当たりがないのに発生することもあり、解剖学的な体格・胃の位置や大きさなどが関係しているようです。
大型犬が夜間に嘔吐・悪心・腹部膨満などの症状が現れたら、即緊急病院へかかる必要があります。
-
寛骨臼骨折
症例は4ヶ月齢の猫、未避妊メス。いつの間にか右後肢を引きずるようになっていたとのことで来院しました。触診では右後肢に伸展痛があり、X線検査を実施しました。
すると骨盤の寛骨臼に骨折が認められました(赤矢印)。骨盤骨折を起こした場合、歩様が悪化するだけでなく、折れた骨盤の骨が内側へ入り込んでしまうことで骨盤狭窄を起こすことがあります。そうなると大腸の通り道が狭くなり、重度な排便障害・慢性的な便秘を起こす可能性があります。
そのため、手術により骨折部の整復・プレート固定を行いました。
寛骨臼プレートとよばれる専用のプレートを用いて骨折部の固定を行いました。以降、症例は跛行がおさまり、排便障害も起こしていません。
この症例は関節内の骨折のため、今後は関節炎の発生を時々チェックしながら、必要に応じてサプリメントの投与や理学療法を行う必要があります。
-
マムシ咬傷
症例は4歳齡のアイヌ犬、未避妊メス。草むらでマムシに鼻先を咬まれたとのことで来院しました。以下の画像は来院時の外貌です。
鼻梁右側にヘビの牙痕が認められ、パンパンに腫れ上がっています。強い疼痛のため触られるのを極度に嫌がり、かなり攻撃的になっていました。
そのため、モルヒネやケタミンといった麻薬や局所麻酔薬などの薬剤を調整して点滴剤に添加し、強い鎮痛をかけながら静脈点滴を行いました。同時に抗生剤・消炎剤にて入院治療を実施しました。
上の画像は治療開始から数日後の様子です。腫れは引いて疼痛も大分治まったため退院となりました。
犬や猫はマムシの咬傷に対し、人間よりもある程度の抵抗性を有していると考えられています。しかしながら、ヘビ毒により急性腎不全やショック、呼吸不全が発生し、最悪死亡するケースも報告されているため、早期に治療を開始することが治癒の鍵となります。
-
粘膜プルスルー
症例は12歳齢のダックス、避妊メス。元気がなく、粘血便が続いているとの主訴で来院しました。まずは一般的な内服・食事療法といった腸炎治療を行いましたが、反応が乏しく、直腸検査で粘膜がザラザラとした感触で一部ボリーブ状になっていたため、内視鏡検査を実施しました。
以下の画像は、内視鏡を直腸に挿入したときの粘膜の様子です。
直腸粘膜はびらんを起こし、一部腫瘤になっていました。そこで異常箇所の直腸粘膜を内視鏡生検鉗子にて採材し、病理検査を行いました。その結果病理医から、直腸腺腫および炎症性ポリープの疑いであるが、典型的な炎症性ポリープの病理像とは異なるため注意が必要、良性悪性の判定はやや慎重を要する、とのコメントが得られました。
これらの病気は免疫抑制療法やアレルギー食により症状の緩和が期待できるため、ステロイドや免疫抑制剤による治療を開始しました。
しかし、治療当初はある程度症状の改善がありましたが、1ヶ月半ほどでまた粘血便やしぶり腹などの消化器症状が出るようになりました。そこで症状の緩和を目的として、粘膜プルスルーと呼ばれる直腸粘膜の切除術を行うこととしました。
上の画像は手術時の様子です。肛門に縫合糸をかけて上下左右に牽引し、肛門付近の直腸粘膜に全周性にメスを入れ、直腸粘膜だけを外に引っ張り出します。黄色矢印部分は直腸粘膜がボコボコと病変を形成している箇所です。青矢印部分は病変が肉眼上なくなっており、キレイな粘膜面が確認されています。
この青矢印部分に剪刀を入れ病変を形成した直腸粘膜を切除し、キレイな粘膜面同士を縫い合わせました。
上の画像は縫合後の粘膜の様子です。切除した直腸粘膜は改めて病理検査に提出しました。すると、直腸腺癌との確定診断が下りました。
症例は術後、しぶり腹や血便といった症状がかなり改善され、QOL(生活の質)が向上しました。直腸腺癌は、切除した粘膜よりも更に深部まで浸潤していた可能性があるため、現在は直腸腺癌の再発を監視しながら内科管理を継続しています。
-
耳ヒゼンダニ症
症例は3歳齢の日本猫、去勢オス。耳を痒がり、血が滲んでいるとのことで来院しました。以下の画像は初診時の外観です。
痒みはかなり強く、耳を後肢で引っ掻き続けたことで、皮膚が損傷し出血していました。耳道を確認すると、黒い乾燥した耳垢が多量に採取され、強い外耳炎を起こしていました。
以下の画像は耳垢を顕微鏡で確認した様子です。
すると、活発に動くダニが多量に確認されました。このダニは耳に寄生し、耳垢や組織液を餌として繁殖するミミヒゼンダニです。このダニが耳に寄生すると、強い痒みが発生し、動物は強いストレスにさらされることになります。
本症例はミミヒゼンダニの駆虫薬を全身投与し、定期的に耳洗浄を行ったことで、ダニがいなくなり外耳炎も治癒しました。同居の猫がいる場合は、他の猫にも感染している可能性があるため、同時に駆虫していくことが重要です。
-
サブトータル結腸切除
症例は推定5歳齢の日本猫、去勢オス。最近食欲がなく、少量の下痢が出たとのことで来院しました。腹部を触診すると、大腸の領域に硬い塊が触知されたため、便秘を疑い、X線検査を行いました。
上の画像は腹部のラテラル(側方向)像です。症例は便秘により大腸が異常に拡張し、腹腔内を占拠していました(黄色矢印部分)。そのため便が全く出ず、食欲不振に陥っていました。
ここまで便秘が悪化すると、浣腸などの内科処置では管理が難しいため、外科療法により拡張した大腸の一部(結腸)を切除することとしました。
上の画像は術中初見です。画像上が頭側、下が肛門側です。徒手にてある程度便を排出させた後の結腸の所見です(黄色矢印部分)。赤矢印は膀胱です。結腸は血流は悪く紫色がかっており、弾力が失われています。この箇所の結腸を切り取り、短くなった腸を吻合しました。
上の画像は切り取った結腸の断端を吸収糸にて吻合した様子です。腸の内容物が漏出しないようしっかり縫いますが、きつく縫いすぎると血流が阻害され、断端部の腸が壊死するため、絶妙な力加減で縫う必要があります。
この画像は切除した結腸です。全部で15cmほど切除しました。血流が悪くなってしまった腸を切り取り、吻合する手技は、比較的技術力を要します。術後も腸の内容物が漏出していないか、注意深く監視することが重要です。
この症例は術後経過良好で、便が定期的に自力で出せるようになり、元気・食欲とも回復しました。以降は便を排出しやすくなるような処方食などを与えるようにし、再び便秘になることを防ぐ必要があります。
-
口腔鼻腔瘻
症例は12歳齢のミニチュア・ダックス、未去勢オス。慢性的にくしゃみ・鼻汁が発生しており、身体検査を行った結果、歯石・歯周病による口腔内の炎症が、鼻腔内にまで波及していることが分かりました。そのために症例は慢性鼻炎となり、鼻腔症状が発生していました。以下は口腔内の外観です。
重度の歯石の付着・歯周病があり、犬歯の動揺が認められました。犬歯周囲の歯肉には穴が開いており、口腔鼻腔瘻(口腔と鼻腔がつながった状態)を起こしていました。
症例はある程度高齢のため、飼い主様は投薬などの内科的な管理を希望していました。しかし、徐々に鼻腔症状が悪化していきました。
麻酔下での処置は年齢が上がるほどリスクが高くなります。そのため、飼い主様はこれ以上悪化する前に、麻酔下での口腔内処置を希望されるようになりました。そこで、口腔内の細菌培養検査を術前に行った上で、麻酔下での口腔内処置を実施しました。
上の画像は、歯石をスケーラーで落とし、根尖膿瘍を起こしていた犬歯・臼歯を抜歯した後の様子です。感染巣となっていた歯を抜歯し、洗浄・抗生剤の注入を行いました。
次に、抜歯後に空いてしまった骨孔・傷を埋めるため、露出した顎骨をラウンドバーで滑らかなラインになるよう削り、口腔粘膜を使ってフラップ形成を行いました。以下の画像が粘膜フラップを施した後の画像です。
画像は上顎の様子です。傷が埋まっているのが分かります。これにより、口腔内と鼻腔が交通してしまうのを防ぎます。下顎についても、同じように粘膜フラップを行いました。
症例は麻酔による合併症もなく、口腔内処置後には鼻腔症状が軽減し、QOLが向上しました。(QOL:quality of lifeの略で、生活の質のこと)
高齢動物の麻酔は、若い動物より麻酔リスクが高まります。実施にあたっては、麻酔をかけて処置をすることで得られる利点と、麻酔による合併症のリスクをよく検討し、飼い主様とよく相談した上で、方針を決定することが重要です。
-
インプラント感染
症例は6歳齢の日本猫、未避妊メス。事故により右後肢を骨折し、他院にて手術を受けたが、手術部位がグズグズになり、以降6ヶ月以上も通院しているが、傷が治る気配が全くないとのことで、セカンドオピニオンを求めて来院されました。
以下が初診時の外観です。
画像は右後肢の外観です。赤矢印で示した足首にあたる箇所が術創です。感染を起こしたために漿液が分泌され、そこに乾燥剤を使ったために分厚いカサブタが形成されていました。以下が初診時のX線画像です。
白矢印で示した部分が右足根部の病変部です。第2中足骨が溶けており、第3〜5中足骨にも骨膜反応が出ています。このままでは傷が治らないばかりか、骨髄炎を起こし断脚が必要になる可能性が高い状態でした。
そこで、麻酔下にて感染巣の精査を行いました。以下の画像は麻酔下でカサブタを除去した後の様子です。
カサブタを除去すると皮膚は大きく欠損しており、さらに奥を探査すると、中足骨を取り巻くようにナイロン糸が出てきました。鉗子で掴んでるのがナイロン糸です。恐らく最初の手術に使用されたものと思われます。このナイロン糸(インプラント)が感染巣となっていることが分かりました。
インプラントとは、体に埋め込まれた医療用人工素材(非吸収糸やプレート・スクリューといった金属など)のことです。
そこで感染巣になっていたナイロン糸を全て取り除き、培養検査のための検体を採取した後、術創を徹底的に洗浄しました。その後は定期的に洗浄・包帯交換を行っていきました。
最終的に、初診から2ヶ月ちょっとで傷は完治しました。
症例は受傷より6ヶ月、こちらの病院へ来た後も加えると8ヶ月もの間エリザベスカラーを装着した生活を余儀なくされていました。猫にとっては相当ストレスであったと思われますが、現在はそのような生活から解放されました。
整形外科手術後に感染を起こすと、足の機能が回復しないだけでなく、骨髄炎を起こし、死に至る可能性があります。またそれを回避するため断脚を行わざるを得ず、結果的に足を失うこともあります。
整形外科手術を実施する際は、感染を起こさないような手技・技術の修練と、衛生的な環境を徹底的に整備する必要があります。
-
椎間板ヘルニア
症例は12歳齢のミニチュア・ダックスフント、去勢オス。後肢のフラつきが数日の間に進行し、後躯麻痺に至ったため、手術を目的として紹介来院されました。神経学的検査、犬種、経過から椎間板ヘルニアが疑われ、検査センターにてMRI検査を実施しました。
MRI検査より、第1腰椎・第2腰椎間において腹側やや左よりに中程度〜重度な脊髄圧迫所見が認められました。そのため、手術による片側椎弓切除術を実施することとしました。
上の画像は腰椎を掘削し、脊髄を露出させた様子です。白矢印で示しているのが露出した脊髄です。キュレットという特殊な鉤を使い、脊髄の下の椎間板物質を掻き出し、よく洗浄して術創を閉鎖しました。
上の画像はジェットバスで温浴させている様子です。術後は起立訓練やジェットバス、レーザー照射などを行い、リハビリします。
上の画像は装具を装着した様子です。このように、腰部の保護のため装具を適用することも有効です。装具は症例にぴったり合うよう、専門の義肢装具士に依頼し作製します。
術後、症例は歩様が改善しましたが、左後肢の力がまだ入りづらい様子のため、継続してリハビリを行なうことが大切です。






















































