最近の整形外科 その2
[2023年06月30日]
こんにちは。獣医師の平松です。最近、毎日の診療に加え、手続関係の様々な事務作業に追われており、なかなかブログを書く時間が確保できなくなってしまいました。そのため、ブログ更新のノルマは一月2回に減らし、継続していきたいと思いますので、今後ともお付き合い頂けると幸いでございます。
前回のブログに引き続き、今回は最近行った整形外科についての紹介です。
症例4:右膝蓋骨内方脱臼
上画像の矢印で示した部分が、膝関節の膝蓋骨が内側へ脱臼している様子です。大腿四頭筋のバランスの乱れや骨の位置関係の不具合が原因で膝蓋骨が脱臼することが考えられますが、遺伝的な素因が指摘されており根本的な原因はまだ解明されていません。
しかし根本的な解明がなされていなくとも、原因となっているであろう箇所を調整し、QOLの向上・歩行の改善を目指していきます。
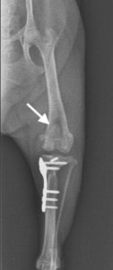
上の画像は膝蓋骨内方脱臼の術後画像です。矢印部分が正しい位置に戻った膝蓋骨を示しています。スネの骨に切り込みが入り、金属で固定されているのが分かります。これは大腿四頭筋の付着部分である脛骨粗面と呼ばれる箇所を骨切りし、外側へずらして金属で固定している様子となります。これにより、筋肉のラインと骨のラインを一致させます。
本症例はボストン・テリアで筋肉量が多かったため、ズラした骨を固定するピンも3本入れて固定力を強化しています。
症例5:右膝蓋骨内方脱臼
こちらの症例も膝蓋骨が内側へ外れる膝蓋骨内方脱臼の症例です。症例3や4と同じ様に骨を掘削したり、脛骨粗面を移動して金属で留めています。本症例は筋肉質なフレンチ・ブルドッグで体重も重かったことから、脛骨粗面に切れ込みを入れ外側へずらし固定する部分が、k-ワイヤーと呼ばれる金属だけでなく、サークラージワイヤーと呼ばれる柔らかめのワイヤーをk-ワイヤーに引っ掛けるようにして連結し、固定力を更に強くしています。
このようなk-ワイヤーとサークラージワイヤーを使用し骨を強固に固定する技術を、テンションバンドワイヤーと呼びます。
症例6:左膝蓋骨内包脱臼および前十字靭帯断裂
こちらの症例は矢印で示した左膝蓋骨内方脱臼に加え、前十字靭帯断裂を併発しています。膝蓋骨を正しい位置へ矯正するため、骨の掘削や関節包を縫縮める手技を行います。さらに、TPLOと呼ばれる脛骨近位部分の骨切り・水平化・固定する主義を行うことにより、脛骨へかかる力学的な方向を変化させ、膝関節の安定化をはかります。
TPLOで骨切りする骨の大きさや回転させる距離は、体重や骨の大きさ・脛骨高平部の角度により完全に計算されており、いかに正しい計算をして治療計画を立てられるか、また計画通りに緻密な手術を実施できるかがとても重要となります。
上の画像は術後のX線画像です。膝蓋骨が正しい位置へ矯正され、脛骨高平部が計画通りの角度になるよう骨切り・水平化が行われ、特殊な形をしたプレートで固定されています。これにより骨と筋肉の位置関係が正しい位置へ矯正され、患肢へかかる力学的な方向も垂直方向へと変化し、しっかりと足に体重をかけることが出来るようになります。
以上、前回のブログと合わせて整形外科症例を6つ、紹介させて頂きました。こうして見ると、膝蓋骨内方脱臼と前十字靭帯の症例が多ですね。一年を通して膝関節の手術症例はとても多く、近隣の病院様からの紹介を受けて、梨の木どうぶつ病院でも多く手術を手がけております。
これからも勉強になる症例を時々紹介していきたいと思いますので、宜しければまたお付き合い下さいませ!
インスタは今のところ頑張って毎日更新しておりますが、ホームページのブログは今後は一月2回で頑張らせて頂ければと思います。ブログ愛読者の方 (いるかどうか分かりませんが…)、申し訳ありません…。
獣医師 平松























