最近の整形外科 その1
[2023年06月24日]
こんにちは。獣医師の平松です。最近はインスタに気を取られ、ブログの更新がすっかり遅くなってしましました。一月3回ブログ更新のノルマを達成するため、今月も焦りながら書いていきたいと思います。
今回は、最近実施した整形外科のX線画像を紹介したいと思います。
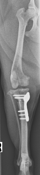
症例1:前十字靭帯断裂
右後肢を引きずるようになった小型犬です。整形外科学的検査やX線検査より、右前十字靭帯断裂と診断し、手術を行いました。上画像は術前のX線検査で、膝を横から撮影したものです。真ん中縦に写っている骨が脛骨(スネの骨)で、脛骨の上の方が膝関節です。膝関節を見ると、前十字靭帯が断裂したことにより、右の脛骨の方が左よりも画面左に向かって全体的にズレています(矢印部分)。
上画像は手術を実施した後の、術後X線画像です。脛骨近位を半円状に骨切りし、プレートで固定するTPLOと呼ばれる術式になります。計算された角度になる様、骨を回転させることで力学的な変化を起こし、膝関節を強固に安定させます。
症例2:股関節脱臼
外傷により右股関節が脱臼した小型犬です。最初の画像が術前の股関節脱臼の様子、次の画像が大腿骨頭切除と呼ばれる、骨頭を切り落としてしまう手術の術後X線画像です。矢印の箇所が患部の様子です。
股関節が脱臼した場合の治療方法として、麻酔下で脱臼を整復する方法、脱臼を整復後に再脱臼しないよう金属などのインプラントで固定する手術を実施する方法、そして骨頭を切り落としてしまう大腿骨頭切除と呼ばれる手術を実施する方法などがあります。
それぞれの方法にはメリット・デメリットがあり、再脱臼・再手術のリスクや股関節の緩みの程度などを検討し、飼い主様と相談した上で術式を検討します。
ちなみに大腿骨頭切除の話を聞いた方は、こんな骨を切り落としてしまっては足がブラブラになってしまい、もう歩けなくなってしまうのでは、と心配される方が多いです。しかし実際には、骨頭切除をした骨の周囲は多くの筋肉・結合組織に支えられ、足がブラブラになってしまうということはなく、歩行機能は回復します。
症例3:膝蓋骨内方脱臼
小型犬は膝蓋骨と呼ばれる膝のお皿が内側へ脱臼してしまうことが多く、痛みの原因になったり将来膝関節周囲の骨の変形をきたすことがあります。この症例も足を引きずったり元に戻ったりを繰り返していました。上の最初の画像が膝蓋骨が内側へ脱臼している様子で、次の画像が整復手術を行い膝蓋骨が正常な位置になっている様子です。
膝蓋骨内方脱臼の手術では、骨を掘削したり筋肉と骨の付着部分を移動・金属で固定などの操作を行い、骨のラインと筋肉のラインが一致するよう矯正します。この症例は両側の脱臼が認められましたが、小型犬で体重が軽かったため両側同時に手術を行なうことができました。
ブログが長くなってきたため、今回はこの辺で終わります。次回はもう3症例ほど紹介させて頂きたいと思いますので、宜しければお付き合い下さいませ!
獣医師 平松





















