キリカン主催のTPLOセミナー
[2018年06月12日]
こんにちは。獣医師の平松です。今週の水曜・木曜と2日間連続で、TPLOと呼ばれる前十字靭帯断裂の手術に関するセミナーに参加して参ります。
前十字靭帯とは膝の中にある大事な靭帯で、人間でもスポーツ選手が損傷してしまうことがあります。動物でも、活発な動物が方向転換した時や、加齢に伴う靭帯の脆弱化により、断裂してしまうことがあります。
一度靭帯が損傷してしまうと、膝が前後方向にグラグラと不安定になり、痛みのために足を挙げるようになります。そして膝の関節炎が進行し、更に痛みが慢性化していきます。そのため、膝関節を安定化させる手術が必要となります。
↑ 一枚目の画像は右膝を正面からみたイラストで、大腿骨(太ももの骨)と脛骨(すねの骨)を繋いでいる赤矢印で示した靭帯が、前十字靭帯です。二枚目の画像は、靭帯が断裂してしまった様子のイラストです。
従来では、前十字靭帯の替わりとなるよう医療用人工糸を、膝関節が安定するように設置するという手術方法が一般的でした。しかし近年、TPLOと呼ばれる骨きり・脛骨高平部の水平化・プレート固定術が、この前十字靭帯断裂を起こした膝の安定化に、極めて有効であることが分かり、大学病院などの2次診療施設ではTPLOが術式として選択されるようになりました。
梨の木どうぶつ病院でも、前十字靭帯断裂の術式はTPLOが第一選択になっており、これまでも大学病院で研修を積んだりセミナーに参加して、技術を磨いてきました。
↑ 3年ほど前に、シンセス社主催のTPLOセミナーで作成した骨模型。このように、TPLOでは脛骨を半円状に骨切りし、計算された角度になるよう骨片を回転させ、プレートで固定します。こうすることで、膝関節は力学的に安定し、歩様が極めて早期に改善されます。(TPLOについてもっと詳しく知りたい方は、病院スタッフまでお問い合わせ下さい。)
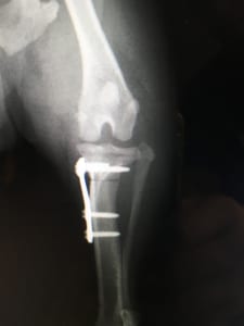
↑ 梨の木どうぶつ病院で実施されたTPLOの術後画像。
既に梨の木どうぶつ病院でもTPLOは実施しており、良好な成績が得られております。しかしながら、医療の進歩は日進月歩のため、既に習得済みの技術であっても、最新の知見を得るべく、再びセミナーに参加することにしました。
今回のセミナーでは、前十字靭帯断裂の診断や大型犬に対するTPLOの術式に加え、膝蓋骨脱臼を併発した場合のTPLOや小型犬に対するTPLOについてなど、盛りだくさんの講義・実習を二日間にわたって行います。
それにしても、今回のセミナーは品川の会場で朝8:30スタート、夕方17:15終了を二日間連続ですから、結構大変です。朝6時くらいに家を出ないといけませんね…。しかしこの機会に、前十字靭帯断裂の診断やTPLOについての最新情報を得て、これからの診療に役立てていけるよう頑張りたいと思います!
獣医師 平松




















